"Dolgozni csak pontosan, szépen, ahogy csillag megy az égen, úgy érdemes"
Örömmel vesszük érdeklődését cégünk iránt, mely Mosonmagyaróvár városának szívében, több mint 25 éve változatlan helyen, de egyre növekvő technikai színvonallal képviselteti magát a fogorvosok Mekkájának nevezett városban. Orvosaink huszonöt - harminc éves jórészt kórházi tapasztalattal állnak az Önök rendelkezésére, mely garantálja az Önök magas szintű ellátását.
A legmodernebb üvegionomer tömésen át, a korszerű és legáltalánosabban használt fotopolimer tömésekig. Szükség esetén alaptömést helyezünk be, hogy javítsuk bármely tömés tulajdonságait, vagy ha a fog nem tömhető (gyulladt) gyógykötés behelyezésével segítünk a fognak regenerálódni, hogy mielőbb tömhető legyen.
Rendelőnk fel van szerelve a legmodernebb digitális diagnosztikai rendszerekkel, röntgen, valamint panorámaröntgen készülék is segíti az Ön mielőbbi állapotfelmérését, mely alacsony sugárzás mellett is kiválóan értékelhető képet ad.
Bármilyen fogpótlást el tudunk Önnek készíteni saját fogtechnikai laboratóriumunkban, legyenek azok fémvázas kerámia koronák, fémallergiásoknak fémmentes porcelán koronák, gyökérben rögzülő csapos koronák, vagy akár homlokzatos koronák.
Több módja is van a gyökérkezelések megfelelő elkészítésének, többek között ahol a gyógyszer fogba helyezésével helyileg teszünk a fogba, ami lassan és fájdalommentesen levezeti a gyulladást
A különböző anyagok külön vagy kombinálva lehetővé teszik az Ön biztonságos, és hatásos érzéstelenítését bármilyen betegség esetén is, legyen az szív, vagy érrendszeri, cukorbetegség, allergia, vagy akár epilepszia
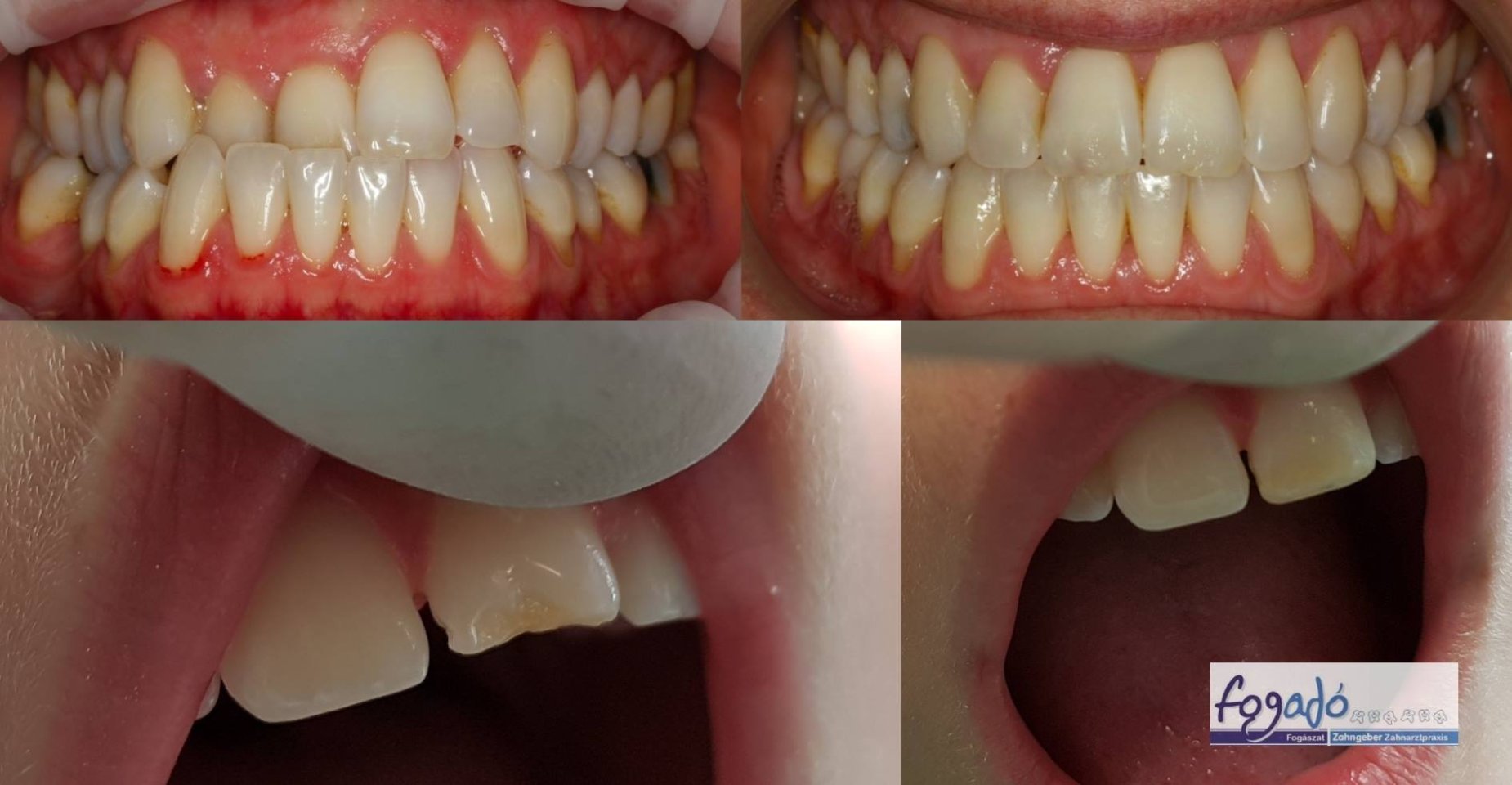
Többek között olyan beavatkozást is végeznek orvosaink, mint gyerekeknek barázdazárás, vagy fluorizálás, Felnőtteknek a fogíny gyulladás gyógyszeres kezelése, vagy akár fogkőlevétel természetesen polírozással együtt
Daganatok (jóindulatú) eltávolítása, tályogok feltárása, gyökércsúcs eltávolítás, implantátum behelyezése, vagy drénezés elkészítése, mely beavatkozások során lézerrel fájdalommentesen dolgozunk.
Dr. Móritz Csilla Judit
cégtulajdonos
regisztrált fogszakorvos (Tutor)
(Fog és szájbetegségek, Konzerváló és fogpótlástan szakorvosa)
Mobil: +36/30-354-2148
E-mail: drmoritzcsilla@t-online.hu
Olcsvári Szilárd
intézményvezető
fogtechnikus
Mobil: +36/30-377-1864
E-mail: olcsvariszilard@fogado-zahngeber.hu
Olcsvári Anita
Vezető asszisztens
Mobil: + 36/30 630-9358
E-mail: olcsvarianita@fogado-zahngeber.hu
Szilágyi-Göncz Viktória
Klinikai fogászati asszisztens
Tel: + 36/96 217-392
E-mail: fogadorecepcio@fogado-zahngeber.hu
Miklós Zsuzsanna
Fogászati asszisztens
Tel: + 36/96 217-392
E-mail: fogadorecepcio@fogado-zahngeber.hu
Dr. Szeder László
regisztrált fogszakorvos
implantológus
Tel: + 36/96 217-392
E-mail: fogadorecepcio@fogado-zahngeber.hu
Dr. Spatariu Andreea
fogorvos
Tel: + 36/96 217-392
E-mail: fogadorecepcio@fogado-zahngeber.hu